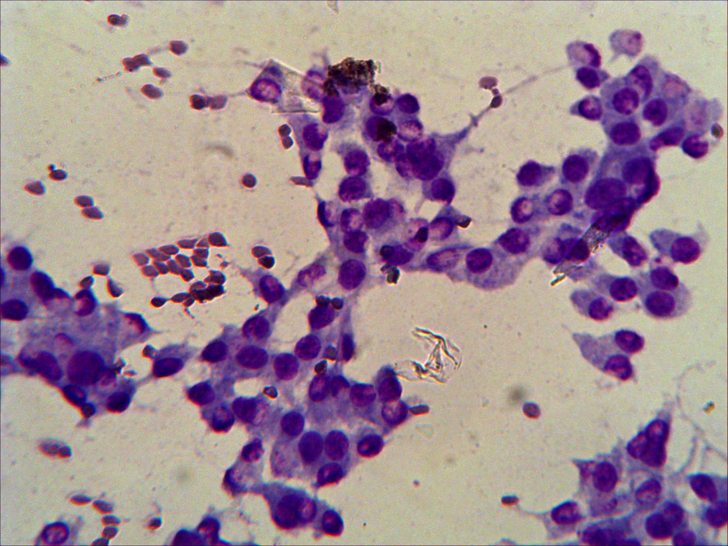
Intranodular hyperechogenic figures - case 777 (cytologic picture 9)
|
|
|
|
|
Smear 2. Wright-Giemsa staining, 400x. There are several polygonal forms and a few triangular cells. Note the presence of powder-like azurophil cytoplasmatic granulations.

