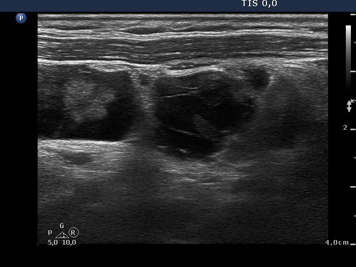
Intranodular hyperechogenic figures - case 779 (ultrasonographic picture 16)
|
|
|
|
Left side of the neck, longitudinal scan. There is a conglomerate of cystically degenerated metastatic lymph nodes.
