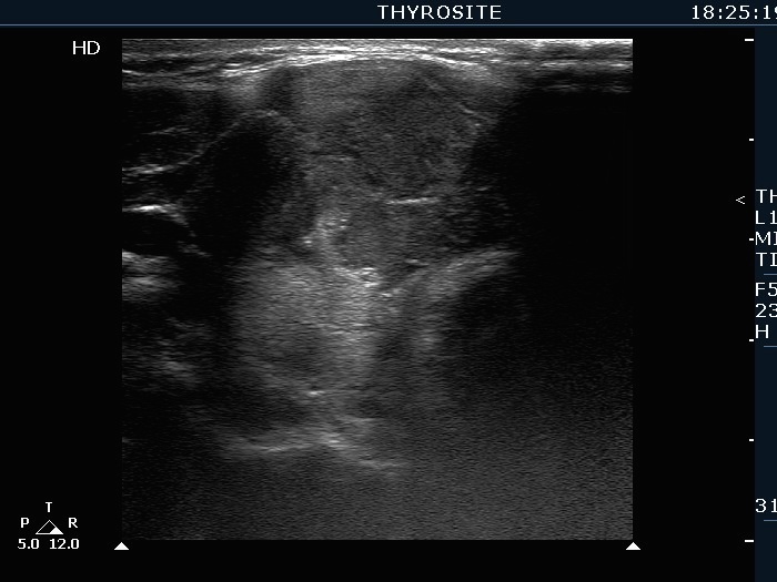
Extrathyroidal spread - case 2113 (ultrasonographic picture 2)
|
|
|
|
Right lobe, another transverse scan. If we consider the ventral wall of the trachea, it is evident that great proportion of the mass is located ventral to the normal position of the thyroid. It means that the tumor presents bulging of extreme degree.
