Menu
Home
2 Nodular goiter
Extrathyroidal spread
Cases
3 Non-nodular thyroid
4 Non-thyroid neck
5 US-interventions
6 Advanced courses
Supplement
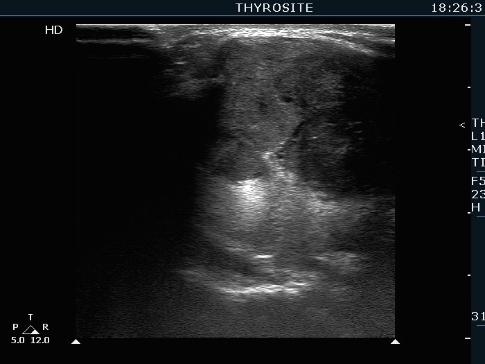
Extrathyroidal spread - case 2113 (ultrasonographic picture 5)
Isthmic part of the right lobe, longitudinal scan.