Extrathyroidal spread - case 2138 (ultrasonographic picture 6)


Previous picture Back to Case Next picture

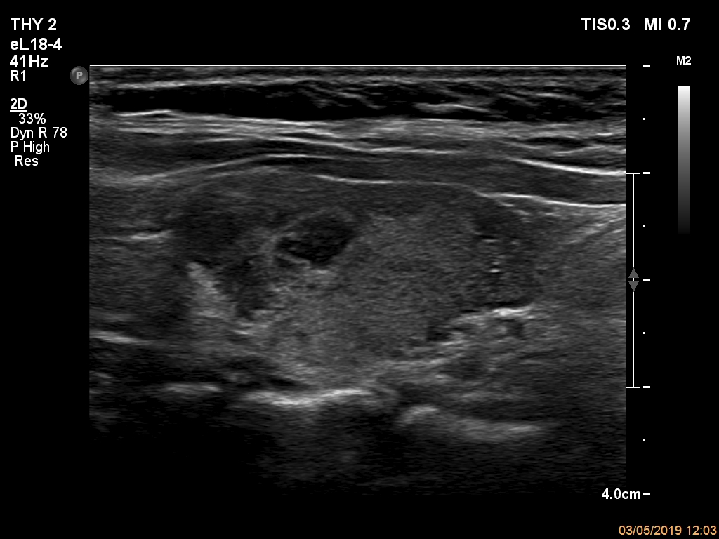
Right lobe, longitudinal scan

Left lobe, longitudinal scan. The most hypoechoic lesion has irregular margins.

 

 

 

 

mask