Halo sign and vascular pattern of nodules - case 1646 (cytologic picture 2)


Previous picture Back to Case Maximize Next picture

Right lobe, longitudinal scan

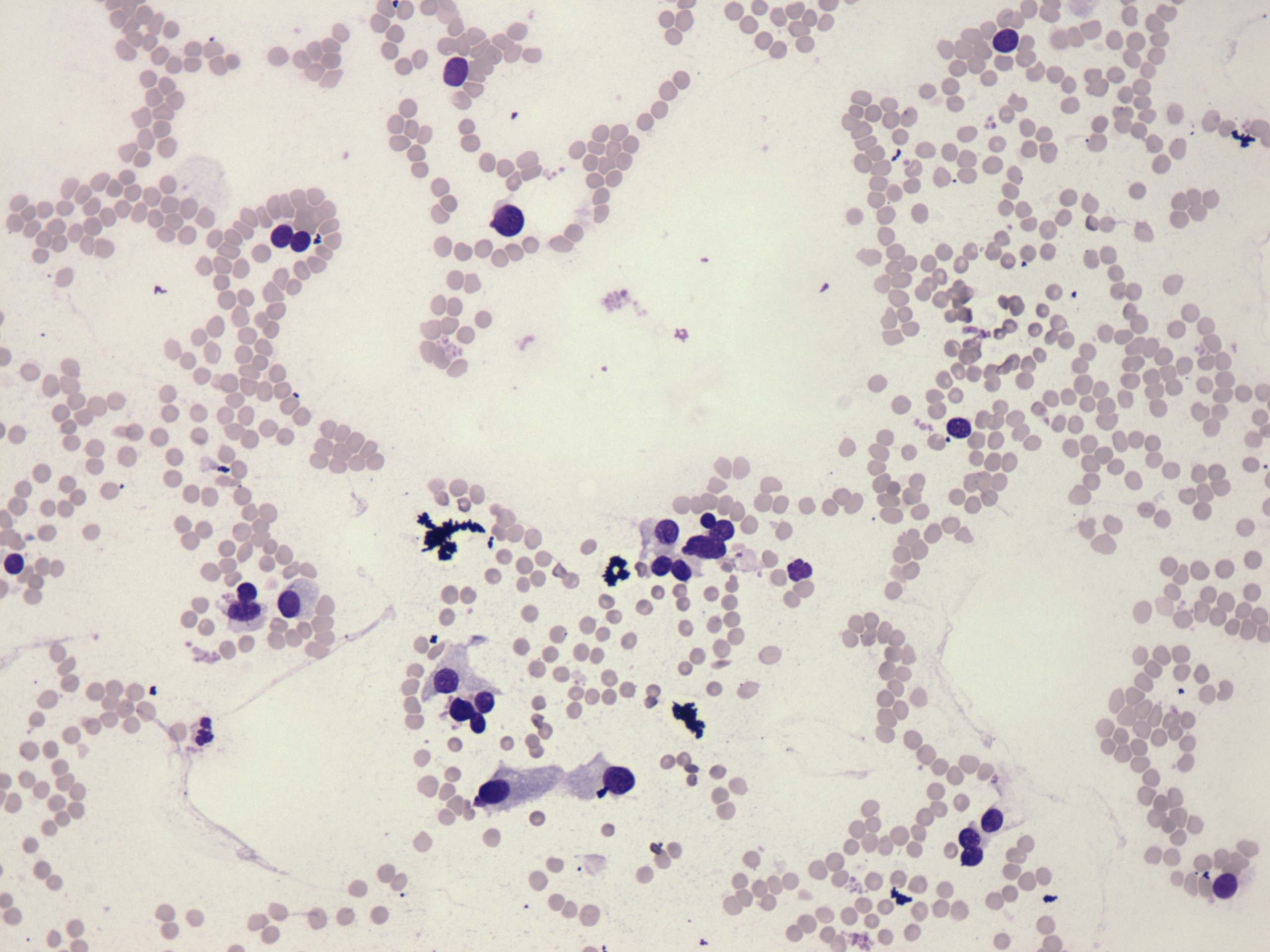
Wright-Giemsa staining, 200x.   Follicular cells have abundant cytoplasm.

 

 

 

mask