Halo sign and vascular pattern of nodules - case 1646 (cytologic picture 8)


Previous picture Back to Case Maximize Next picture

Right lobe, longitudinal scan

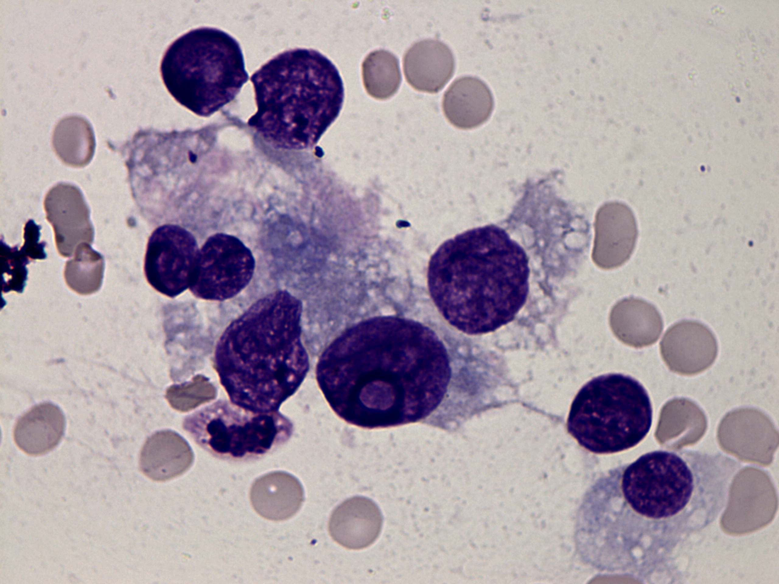
Wright-Giemsa staining, 1000x.   The chromatin structure is coarsely granular. There is an inclusion in one nucleus.

 

 

 

mask