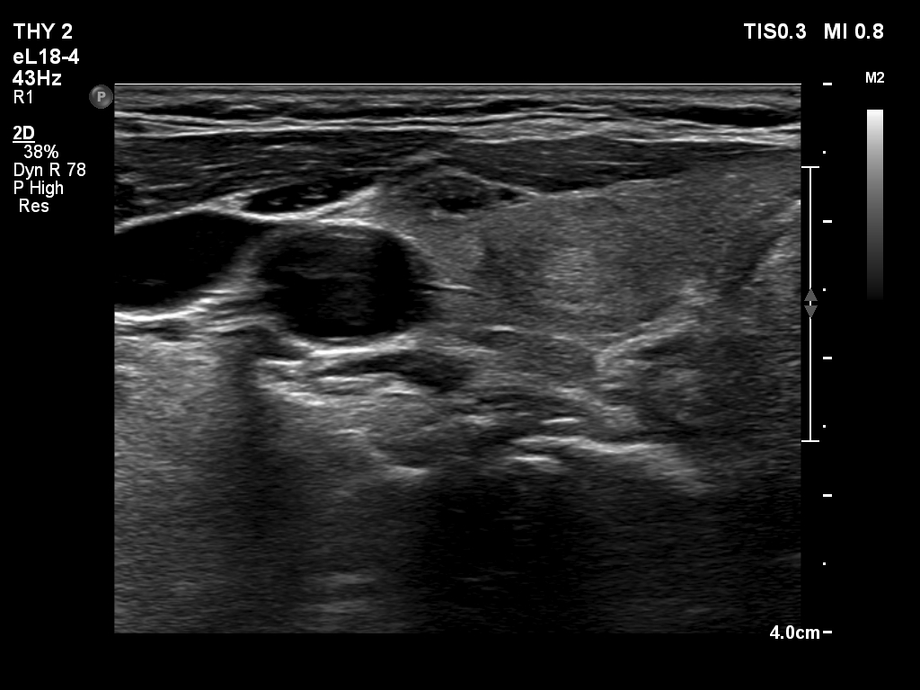
Halo sign and vascular pattern of nodules - case 2255 (ultrasonographic picture 2)


Previous picture Back to Case Next picture

Right lobe, longitudinal scan

Lower part of the right lobe, another transverse scan. There are several more discrete lesions.

 

 

 

 

 

 

mask