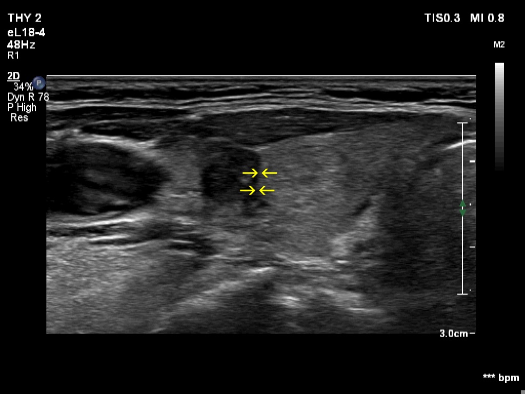
Halo sign and vascular pattern of nodules - case 2255 (ultrasonographic picture 6b)
|
|
|
|
Right lobe, transverse scan, enlargement. The yellow arrows point to the borders between the lateral hypoechoic and the medial echonormal nodule.
