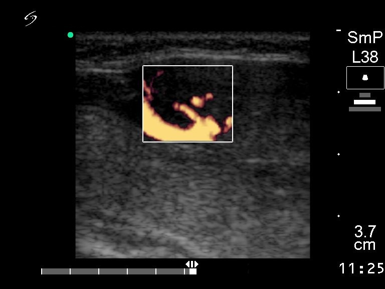
Halo sign and vascular pattern of nodules - case 304 (ultrasonographic picture 6)
|
|
|
|
Lower part of the right lobe, longitudinal scan, power Doppler method. There is a large vessel on the dorsal surface of the mass. It corresponds to perinodular flow. The intranodular vascularization is also increased. Taken the gray-scale and power Doppler images together into account, one can conclude that this mass is of thyroid origin. The perinodular flow excludes the possibility that this lesion is a lymph node.
