Halo sign and vascular pattern of nodules - case 738 (cytologic picture 5)


Previous picture Back to Case Maximize Next picture

Right lobe, longitudinal scan

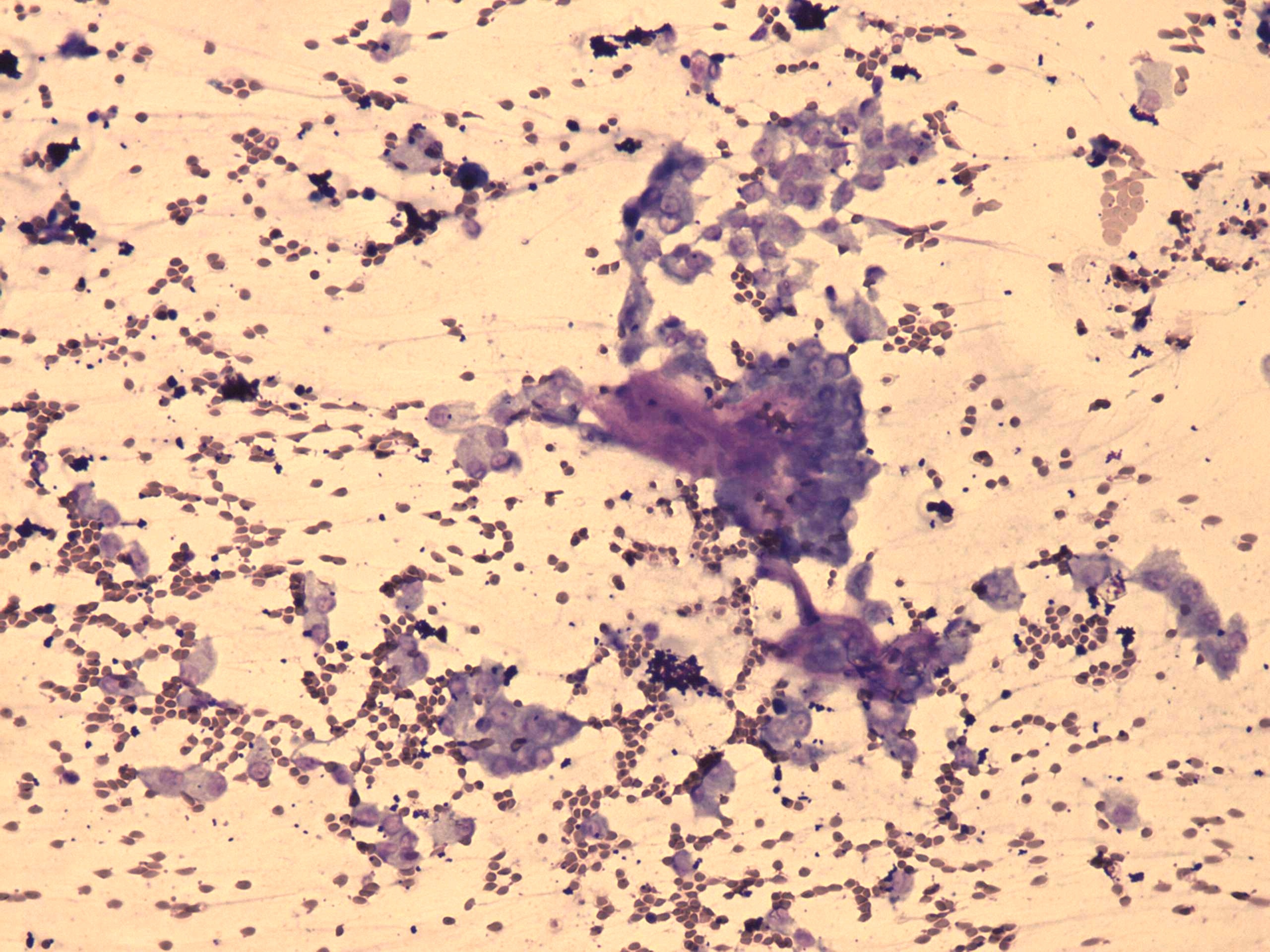
Wright-Giemsa staining, 200x.   The nuclei are vesicular and have inconspicious nucleoli.

 

 

 

mask