The shape of the nodule - case 1370 |
|
Clinical data: A 45-yr-old man was referred for aspiration cytology of a nodule discovered by carotid Doppler examination.
Palpation: no abnormality.
Laboratory test: TSH 2.74 mIU/L.
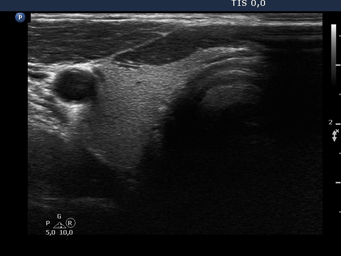
Ultrasonography. The thyroid was echonormal. Both lobes presented nonparallel orientation. There was a minimally-moderately hypoechoic nodule in the left lobe. The nodule showed taller-than-wide shape and signs of perinodular blood flow.
Cytology resulted in benign colloid goiter.
Comment. It is very hard to imagine how could a nodule not showing nonparallel orientation if it is found in a lobe which itself has nonparallel orientation. In smaller nodules which does not extend to the entire width of the lobe. nonparallel orientation may have some meanings. However, a lesion which extends across the entire width of the lobe, further growth is hindered by anatomical structures. Therefore, such nodules can only continue to grow in the anteroposterior direction.





