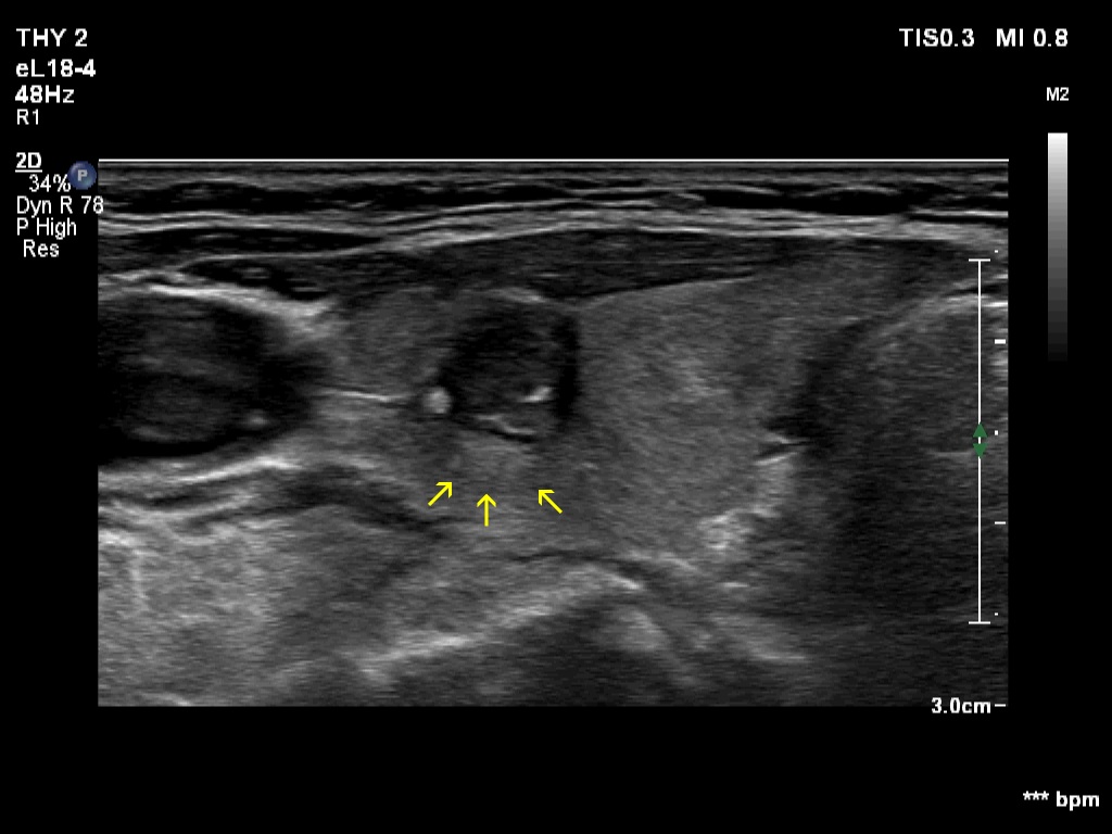
The shape of the nodule - case 2255 (ultrasonographic picture 5b)
|
|
|
|
Right lobe, transverse scan, enlargement. Yellow arrows point to acoustic amplification caused by the cystic content of the nodule.
