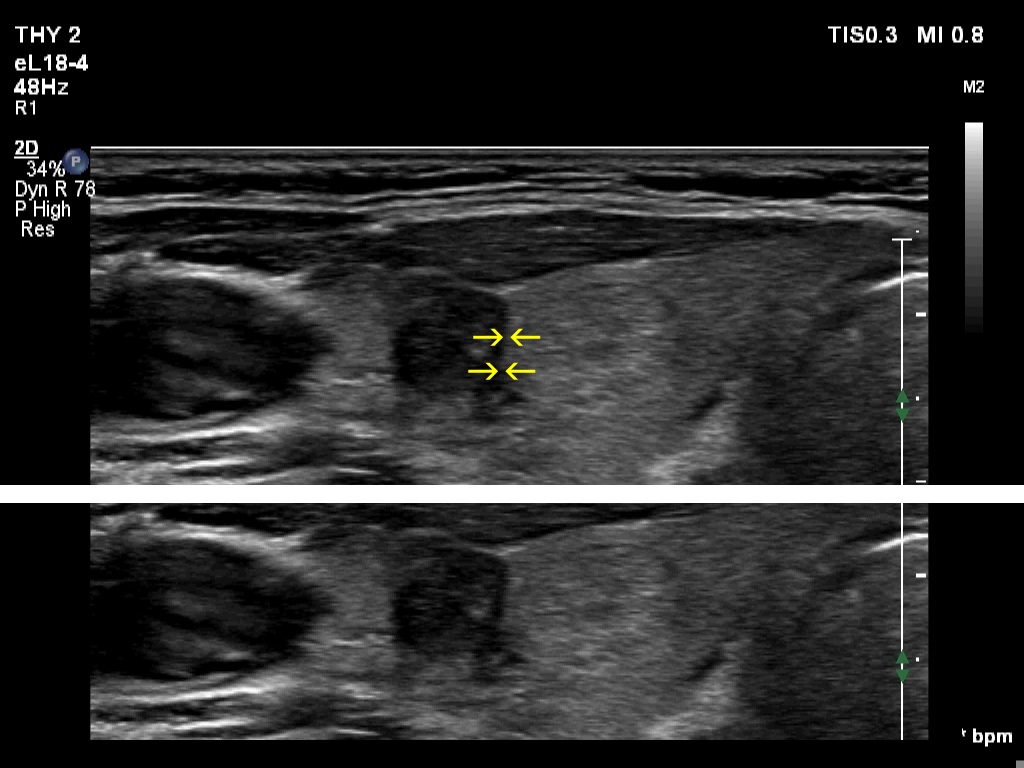
The shape of the nodule - case 2255 (ultrasonographic picture 6c)
|
|
|
|
Right lobe, transverse scan, enlargement. The yellow arrows point to the borders between the lateral hypoechoic and the medial echonormal nodule. We have to realize that the latter nodule hinders the spread of the hypoechoic lesion into medial direction. It means that the width of the nodule is deceptively lower and the taller-than-wide shape is simply the consequence of the presence of and impression caused by the neighboring other nodule.
