The shape of the nodule - case 873 (cytologic picture)
|
|
|
![]() |
|
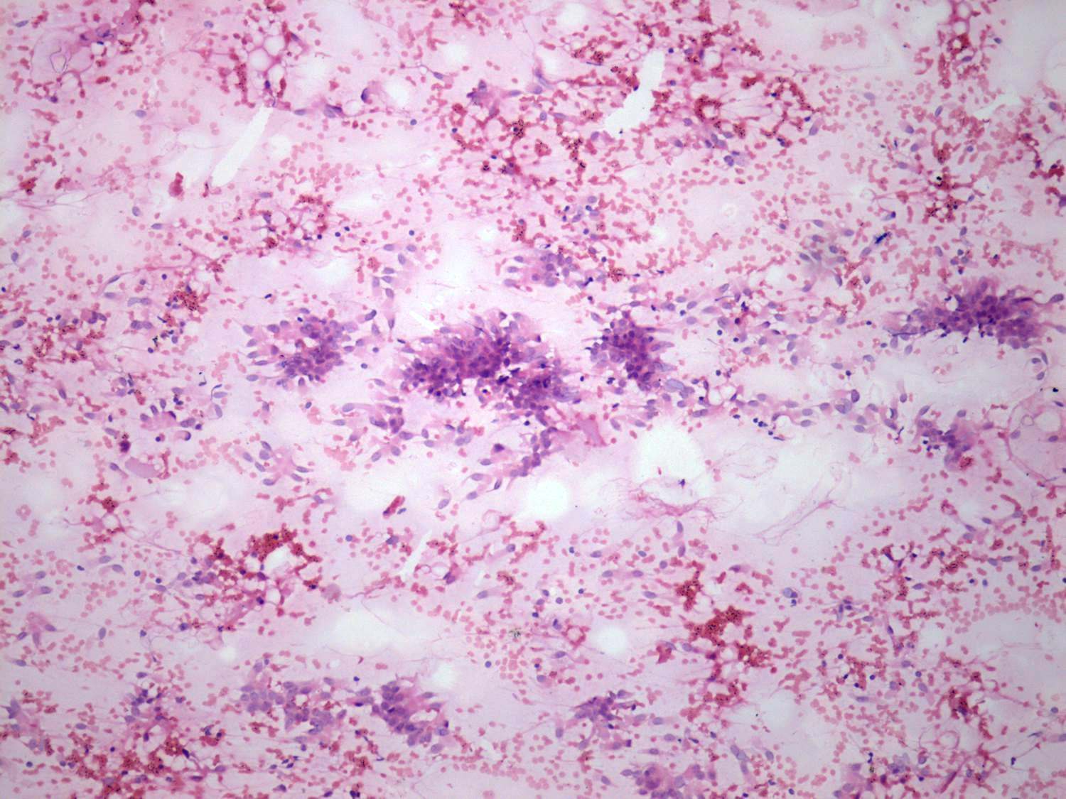
Pap-smear, 100x. The presence of colloid is equivocal. Follicular cells are located in trabecular structures, in small groups and dissociated.

