The shape of the nodule - case conp 036 (cytologic picture 1)
|
|
|
![]() |
|
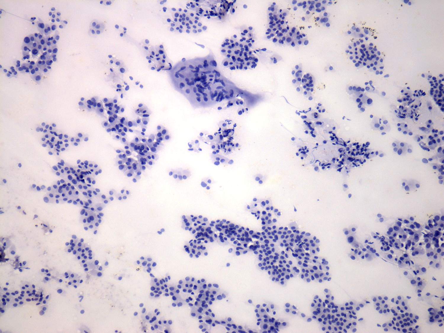
Pap-smear, 100x. This is a very cellular pattern with the predominance of monolayered sheets. There is a multinucleated cell in the upper-central part of the image.

