Menu
Home
2 Nodular goiter
TIRADS
Cases
3 Non-nodular thyroid
4 Non-thyroid neck
5 US-interventions
6 Advanced courses
Supplement
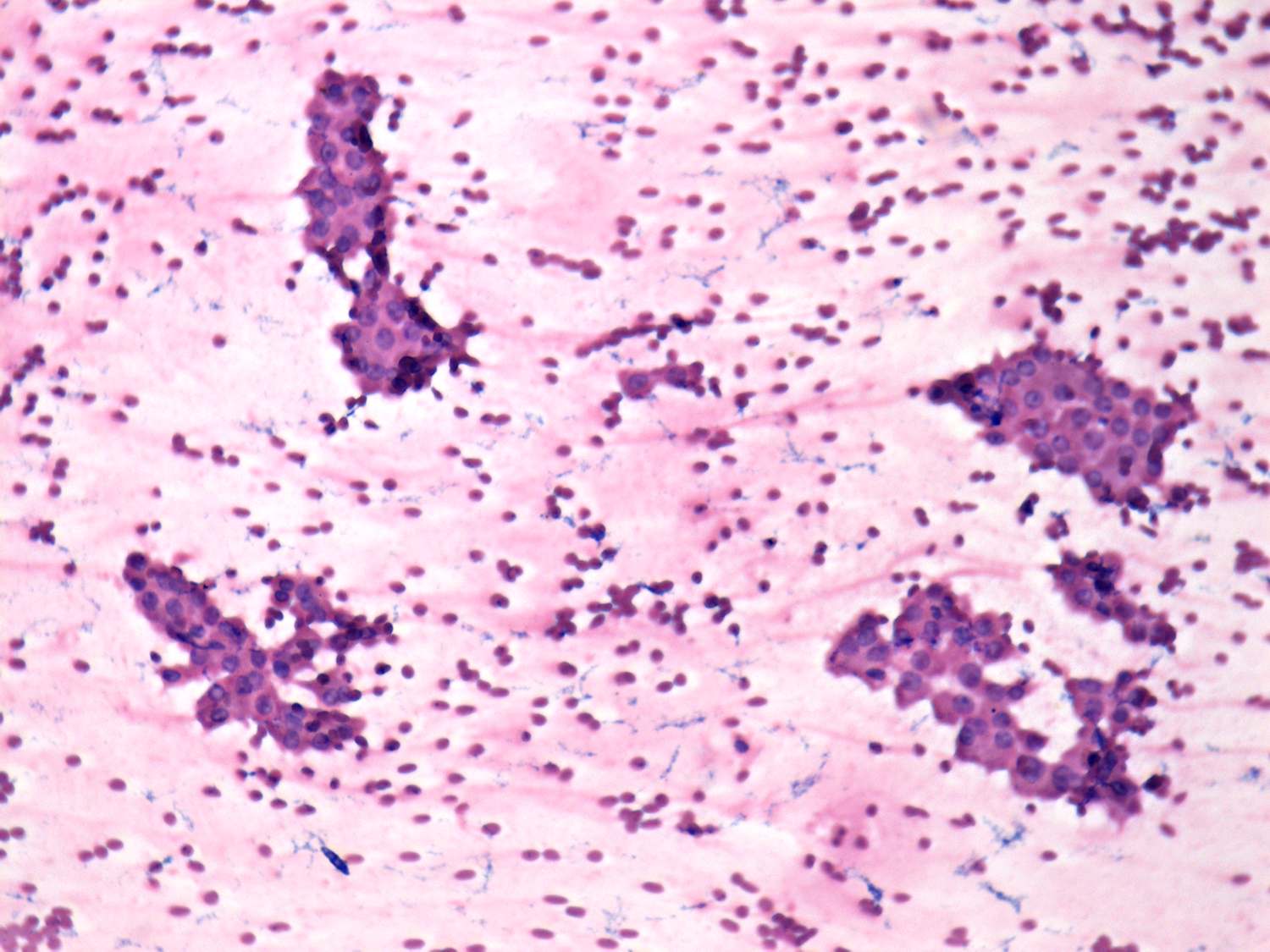
TIRADS - case 218 (cytologic picture 2)
Pap-smear, 200x. Groups of oxyphilic cells.