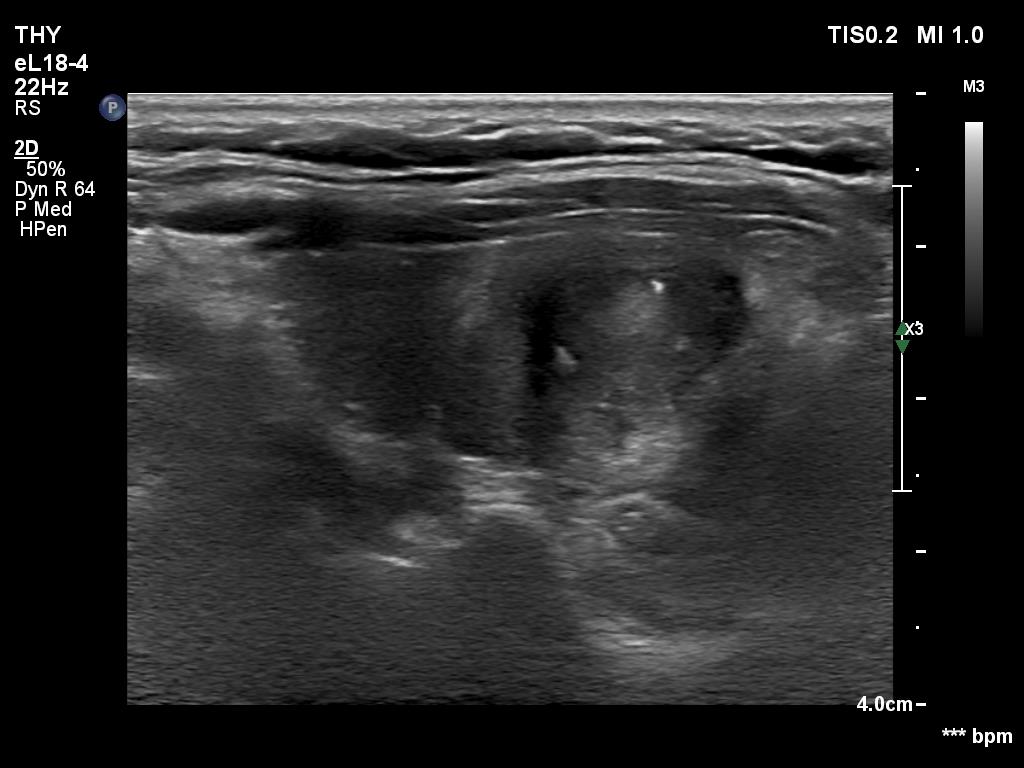
TIRADS - case 294 (ultrasonographic picture 7)
|
|
|
|
Left lobe, longitudinal scan with better harmonization. The bright echogenic granule seems to have a tail and is located ventral to a tiny cystic area.
