Graves' disease - Case 1049
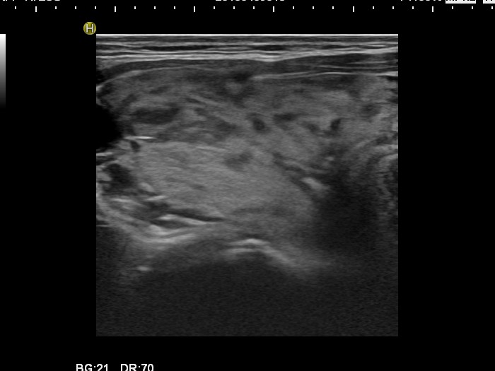
Follow-up investigation 30 months after first visit (ultrasonographic picture 1)
Patient one year after discontinuation of thyrostatics in hyperthyroid state
![]() |
![]() |
![]() |

Right lobe, transverse scan. The echogenicity index is around 20%.