Graves' disease - Case 1049
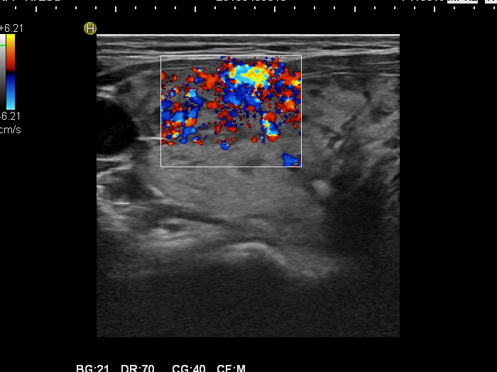
Follow-up investigation 30 months after first visit (ultrasonographic picture 3)
Patient one year after discontinuation of thyrostatics in hyperthyroid state
![]() |
![]() |
![]() |

Right lobe, transverse scan, Doppler mode. The vascularization is increased.