Graves' disease - Case 1049
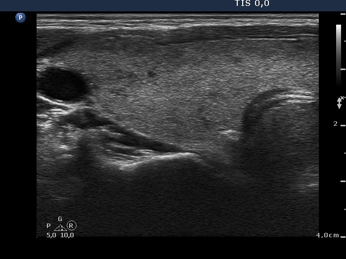
Follow-up investigation 40 months after first visit (ultrasonographic picture 1)
Patient on daily 5 mg methimazole therapy in hypothyroid state
![]() |
![]() |
![]() |

Right lobe, transverse scan. The echogenicity of the thyroid became normal, while the thyroid has increased compared with the previous investigation. This enlargement is the consequence of the TSH elevation.