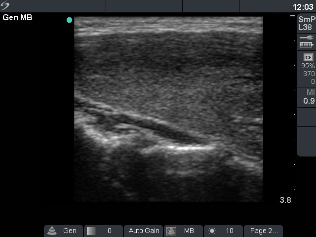
Graves' disease - Case 1049
Follow-up investigation 12 months after first visit (ultrasonographic picture 2)
Patient on daily 10 mg methimazole therapy in euthyroid state
![]() |
![]() |
![]() |

Right lobe, longitudinal scan.