Lymph nodes - case 1096 (cytologic picture 1)


Back to Case Maximize Next picture

Right lobe, longitudinal scan

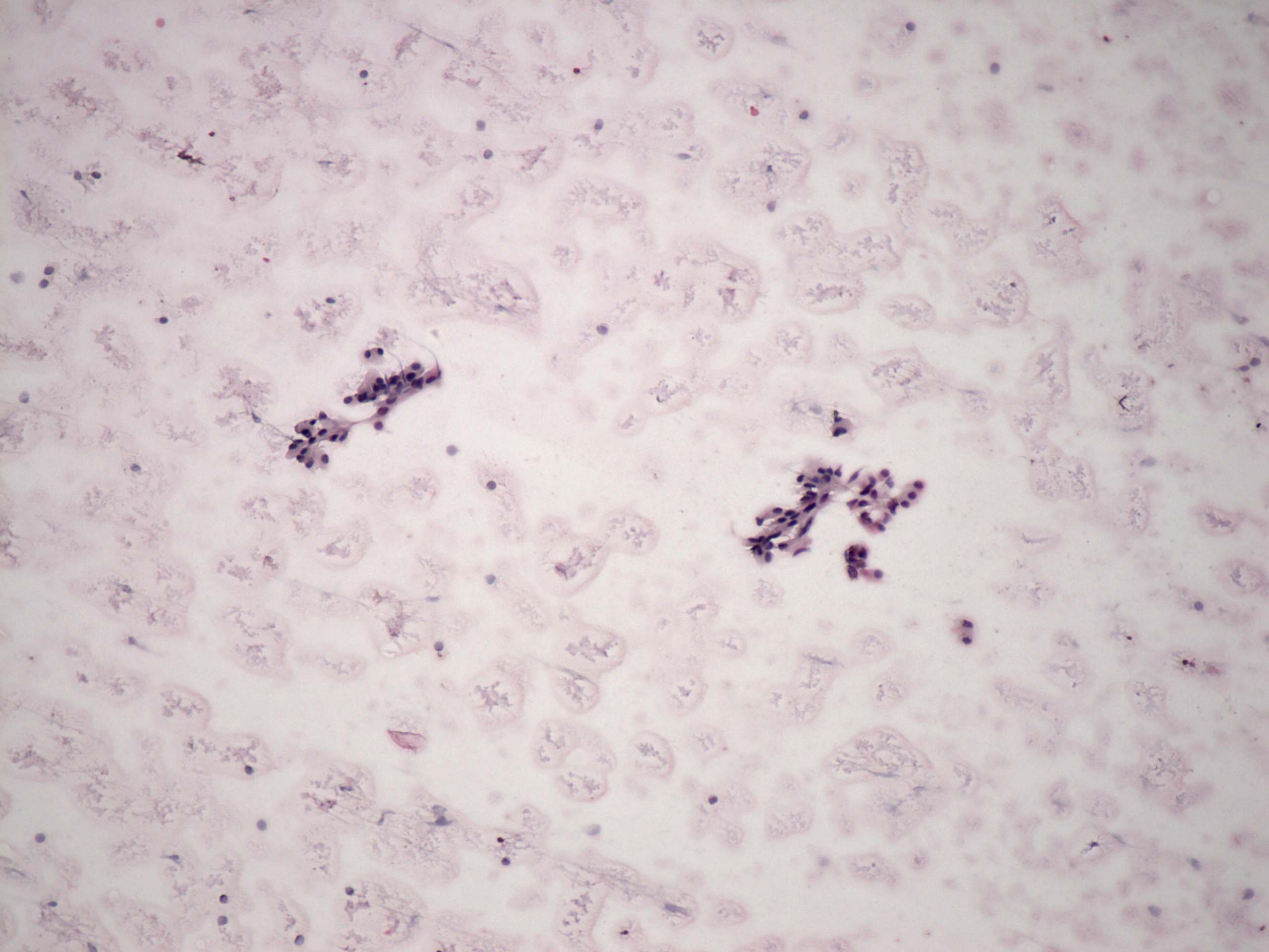
Pap-smear, 100x.   The presence of colloid is doubtful. There are small, syntitial clusters composed of follicular cells.

 

 

 

mask