Lymph nodes in the neck
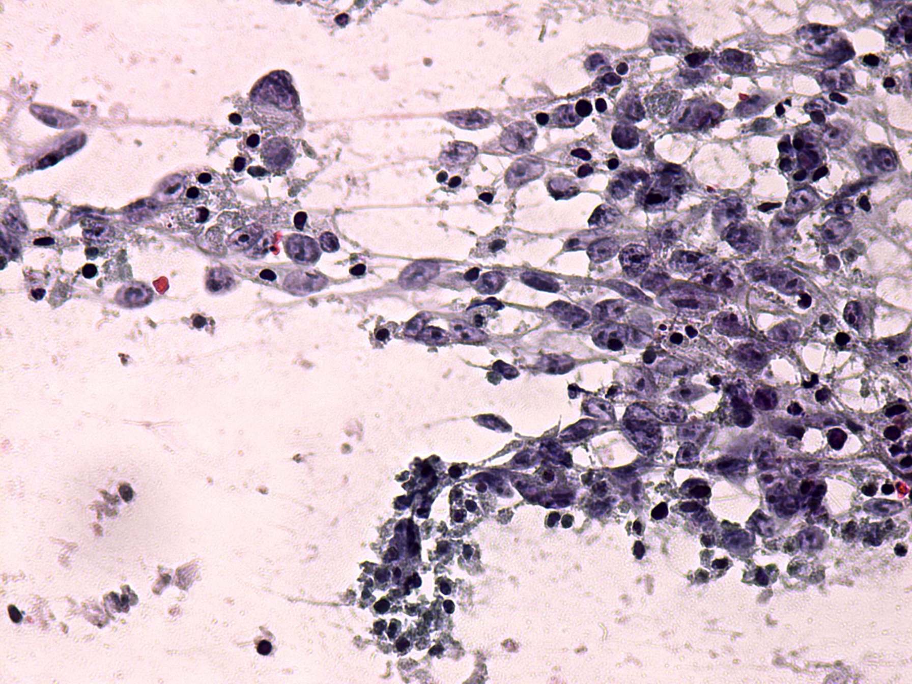
Pap-smear, 400x. Note large prominent nucleoli and several pleomorphic forms.