Lymph nodes in the neck - Case 1160 |
|
Clinical data: An 80-year-old woman was referred for evaluation with the suspicion of thyroid carcinoma. She noticed a lump in the right submandibular area 3 months ago. The lesion increased slowly over this period. A hypoechogenic nodule with microcalcification was found on neck and thyroid ultrasonography.
Palpation: a very firm lesion in the right submandibular area, while no abnormality in the thyroid.
Functional state: euthyroidism with TSH 2.57 mIU/L.
Ultrasonography. There was a hypoechogenic nodule presenting microcalcification in the ventromedial part of the right lobe. Corresponding to the palpable mass in the right submandibular area, a lymph node was found. The node did not present hilum.
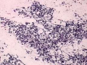
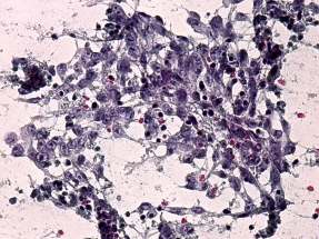
Cytological diagnosis: carcinoma - with great probability an adenocarcinoma in the lymph node. Benign colloid goiter in the thyroid.
Wash-out thyroglobulin of the lymph node resulted in 0 ng/mL.
On further evaluation an adenocarcinoma of the ascending colon was found and a right colectomy was performed.










