Lymph nodes in the neck - Case 1205 |
|
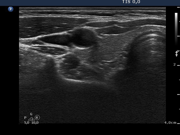
Clinical data: A 31-year-old woman was referred for evaluation of amenorrhoea. Otherwise, she had no complaints. She noticed a node in the right submandibular area for 5 years.
Palpation: There was an enlarged lymph node in the right submandibular area while there wasn't any abnormality in the thyroid.
Functional state: euthyroidism (TSH 1.98 mIU/L, aTPO 2 U/mL).
Ultrasonography: The thyroid was intact. There was a reactive-type lymph node in the right submandibular area.





