Lymph nodes in the neck - Case 123 (cytologic picture 2 of the thyroid)

Previous picture Back to Case Maximize Next picture

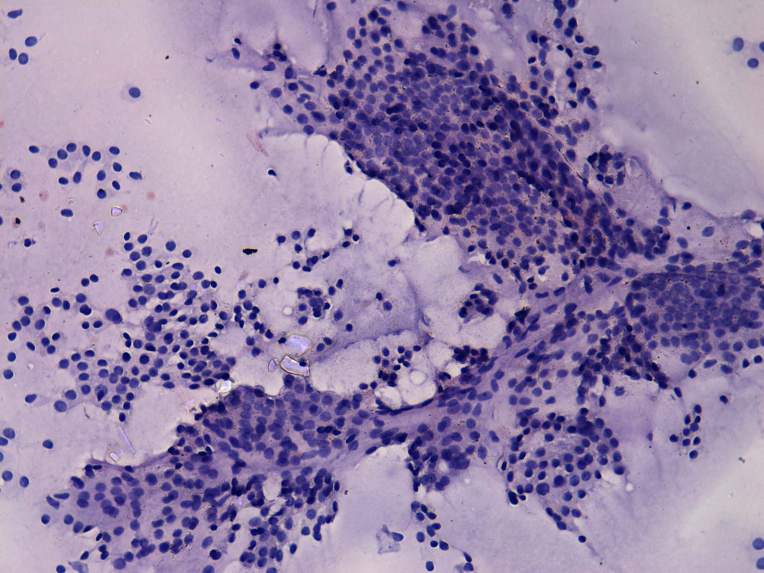
Pap-smear, 200x.   Note peripheral vacuolization at the edge of the papillary cluster.

mask