Lymph nodes in the neck
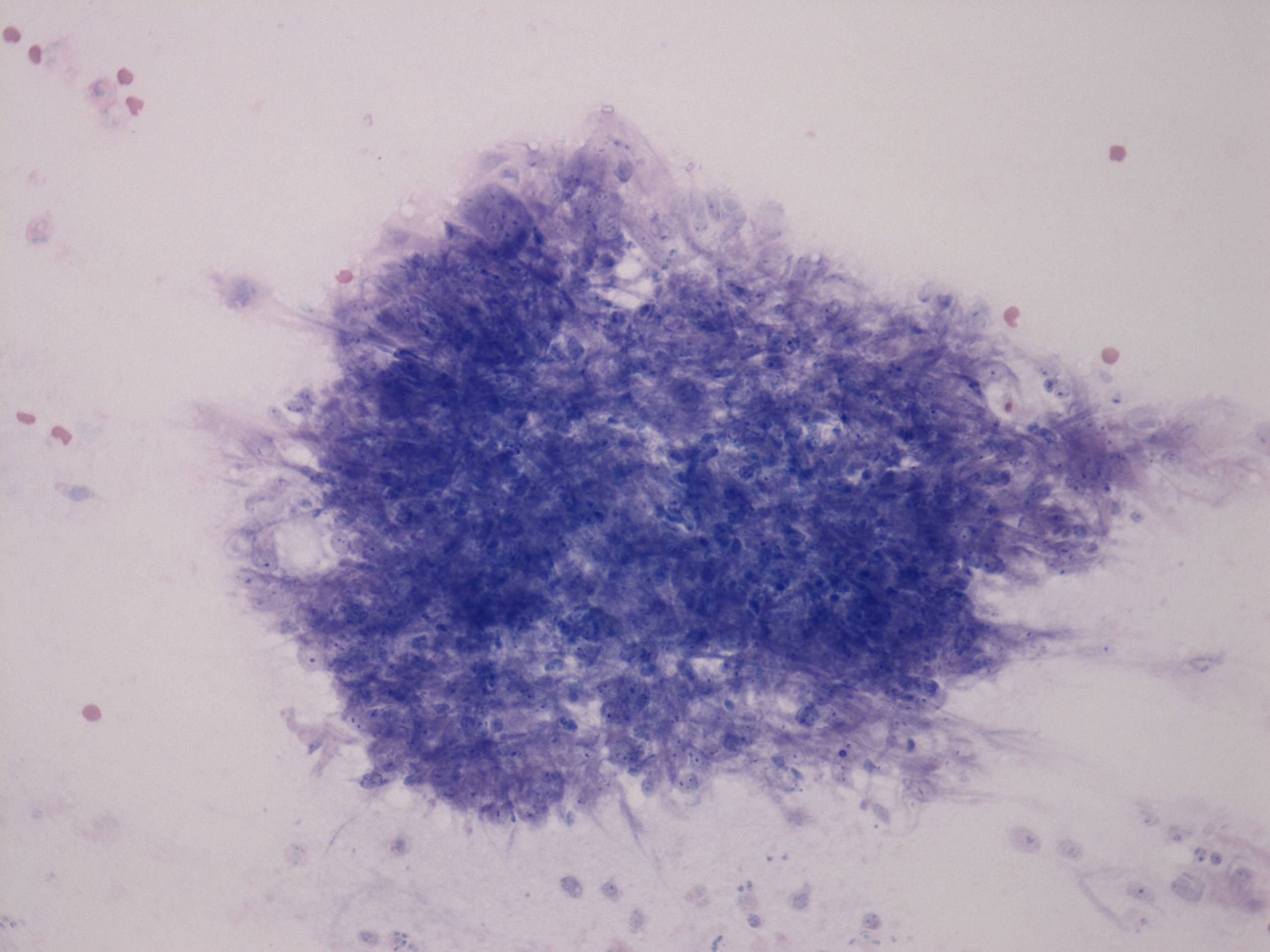
Pap-smear, 200x. The background is dirty. A large, partly necrotic fragment is demonstrated.