Lymph nodes in the neck
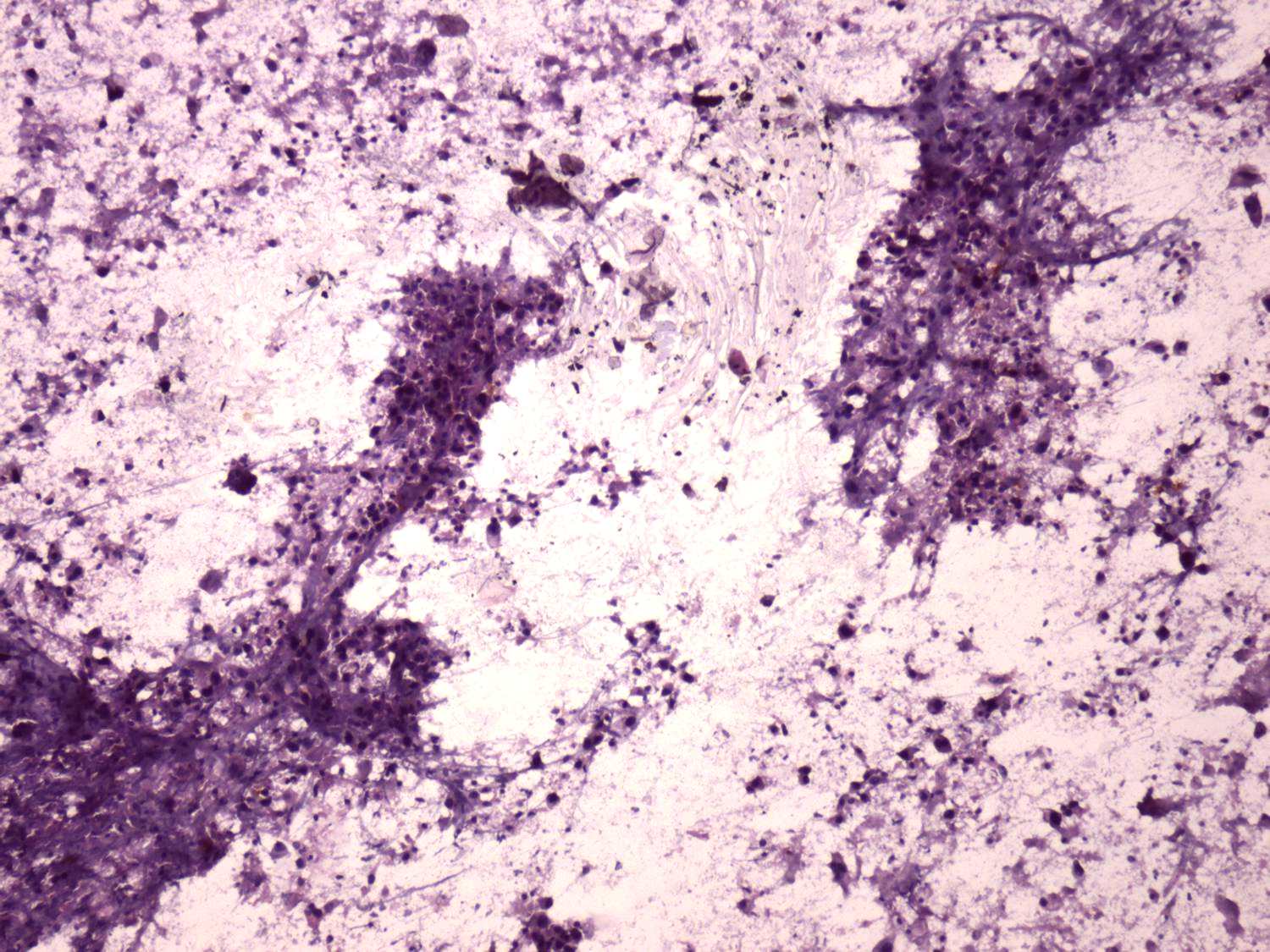
Pap-smear, 100x. The background is dirty as in most cases of a squamous cell carcinoma.