Lymph nodes in the neck - Case 674 (cytologic picture 3)

Previous picture Back to Case Maximize Next picture

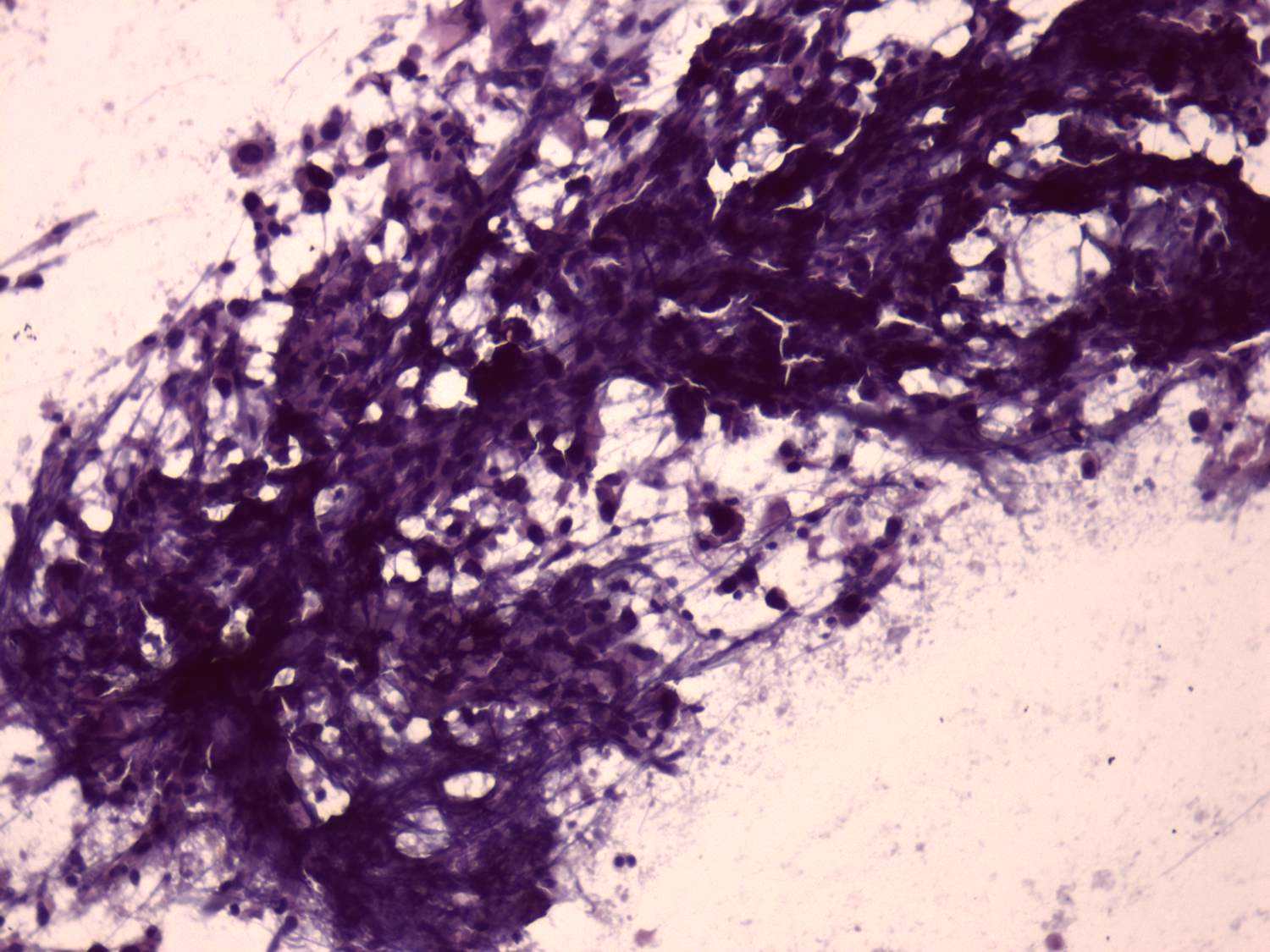
Pap-smear, 200x.   A cluster of tumor cells within an inflammatory background.

mask