Lymph nodes in the neck
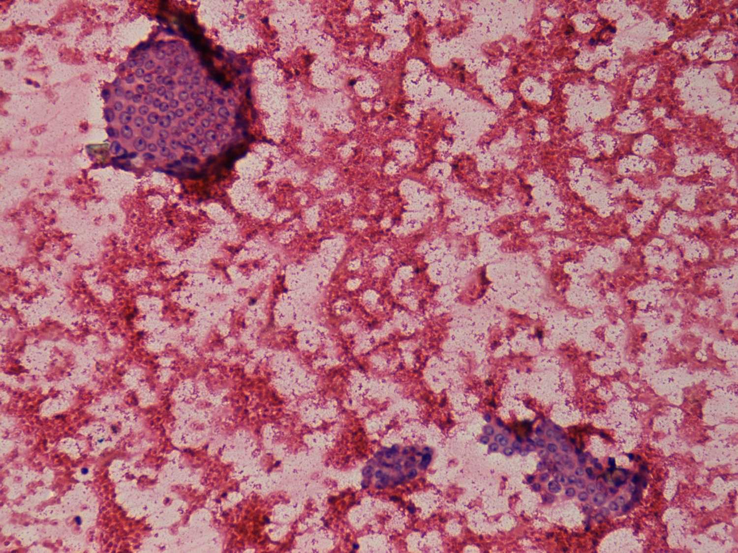
Pap-smear, 200x. Monolayered sheets of follicular cells presenting oxyphilic metaplasia and prominent nucleoli.