Lymph nodes - case 819 |
|
Clinical presentation: A 56-year-old woman was presented with a large, painless lump involving the left lobe of the thyroid. The tumor had evolved over 2 months.
Palpation: a large, hard tumor in the left side of the neck.
Functional state: euthyroidism (TSH-level 1.72 mIU/L).
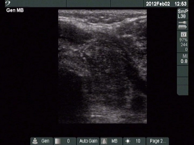
Ultrasonography: Both lobes were deeply hypoechoic. There was a large lymph node just lateral to the left thyroid lobe. The node had a central scar and presented echonormal discrete fields as well. It is worth noting that the left thyroid lobe was more inhomogeneous compared to the other thyroid lobe. This inhomogeneity made the appearance of the left lobe close to the tumorous lymph node.
Cytology of the lymph node resulted in suspicion of non Hodgkin's lymphoma.
Biopsy was performed from the node. Histopathology revealed large B cell lymphoma with several fields of thyroid tissue showing Hashimoto's thyroiditis.
Comment.
-
On the ultrasound presentation, it was not evident that the thyroid also has malignant lesion, but the histopathology disclosed that the lymphoma was present even within the thyroid.
-
In this case, in the event of large B cell lymphoma, the presence of Hashimoto's thyroiditis is simply a coincidence.















