Menu
Home
2 Nodular goiter
3 Non-nodular thyroid
4 Non-thyroid neck
Lymph nodes in the neck
Cases
5 US-interventions
6 Advanced courses
Supplement
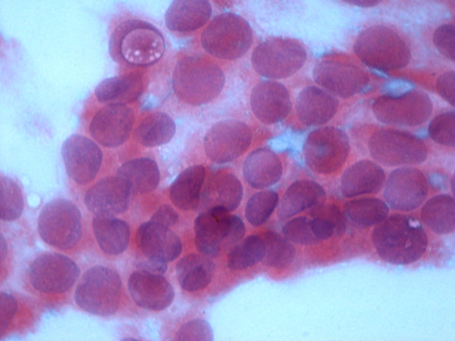
Lymph nodes - case conp 005 (cytologic picture 5)
Pap-smear, 1000x. Note one cell with an intranuclear inclusion.