Lymph nodes - case conp 005 (ultrasonographic picture 7)


Previous picture Back to Case Next picture


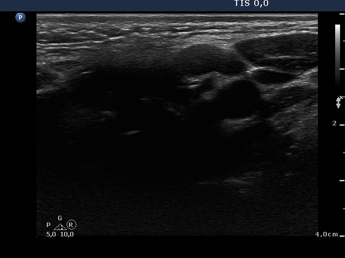
Left side of the neck, above the thyroid, longitudinal scan. The node lacks hilum.

 

 

 

mask