Lymph nodes - case conp 008 (cytologic picture 9)


Previous picture Back to Case Maximize  

Right lobe, longitudinal scan

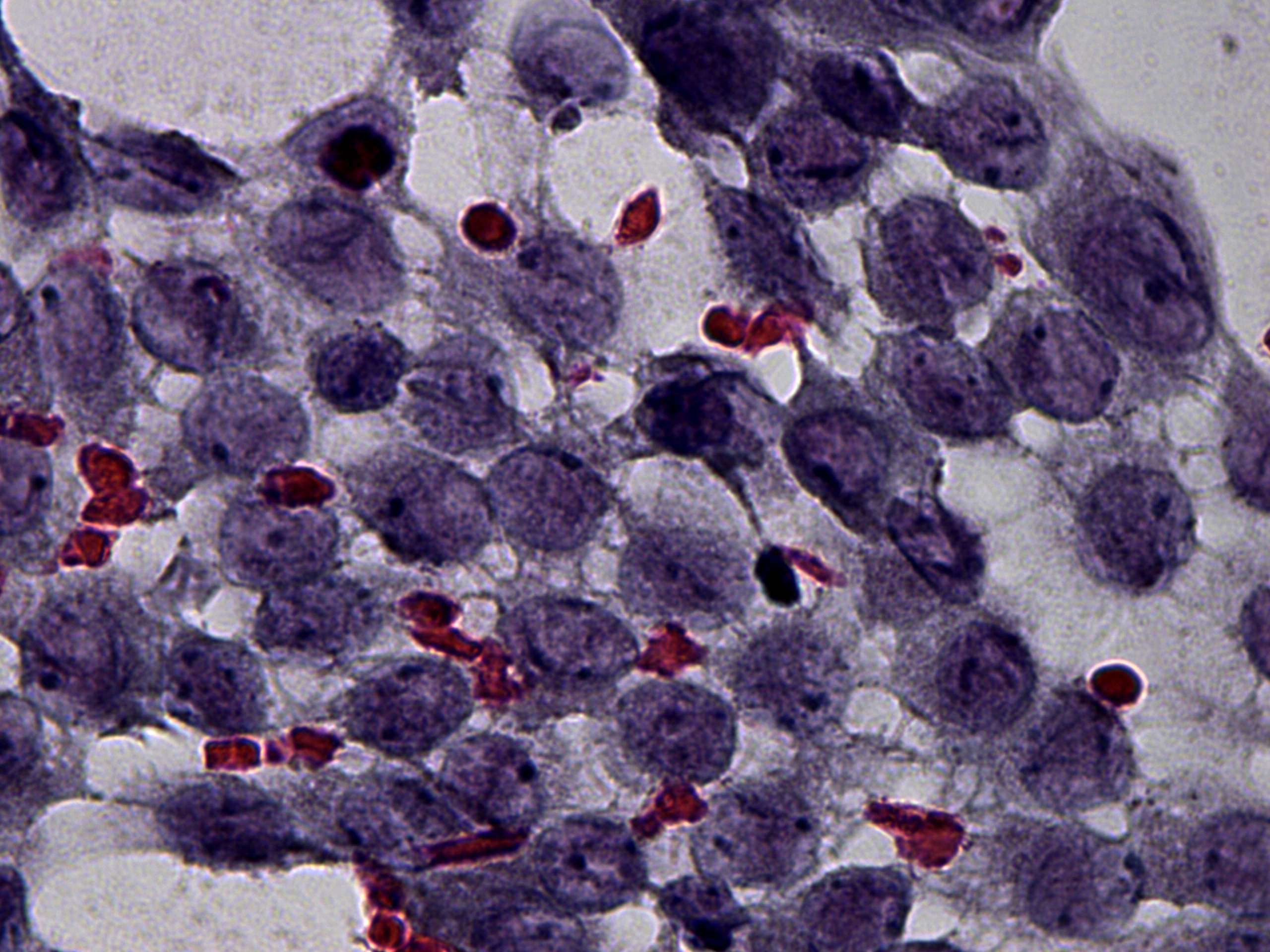
Pap-smear, 1000x.  In contrast with the previous image this picture presents a calming pattern.

 

 

 

 

 

mask