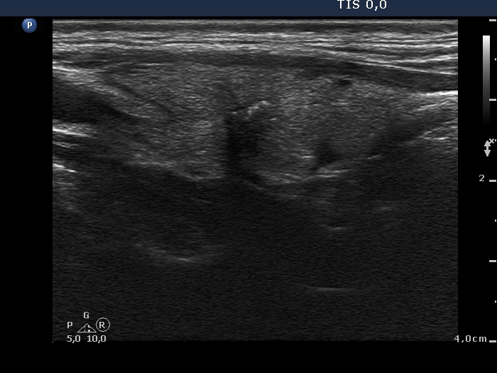
Lymph nodes - case conp 017 (ultrasonographic picture 2)


Previous picture Back to Case Next picture

Right lobe, longitudinal scan

Right lobe, longitudinal view. The nodule contains microcalcifications and coarse calcifications, too.

 

 

 

 

 

 

mask