Lymph nodes - case conp 025 (cytologic picture 5)


Previous picture Back to Case Maximize Next picture

Right lobe, longitudinal scan

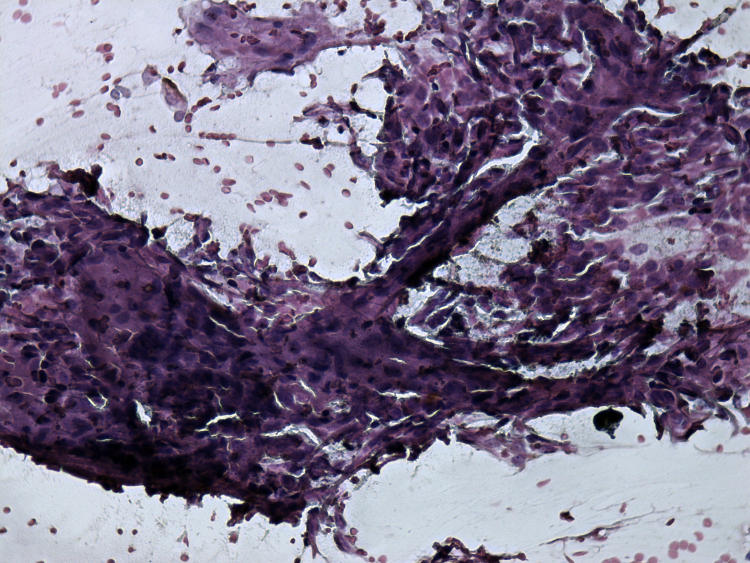
Pap-smear, 400x.  The fibrovascular core of a papillary fragment is demonstrated.

mask