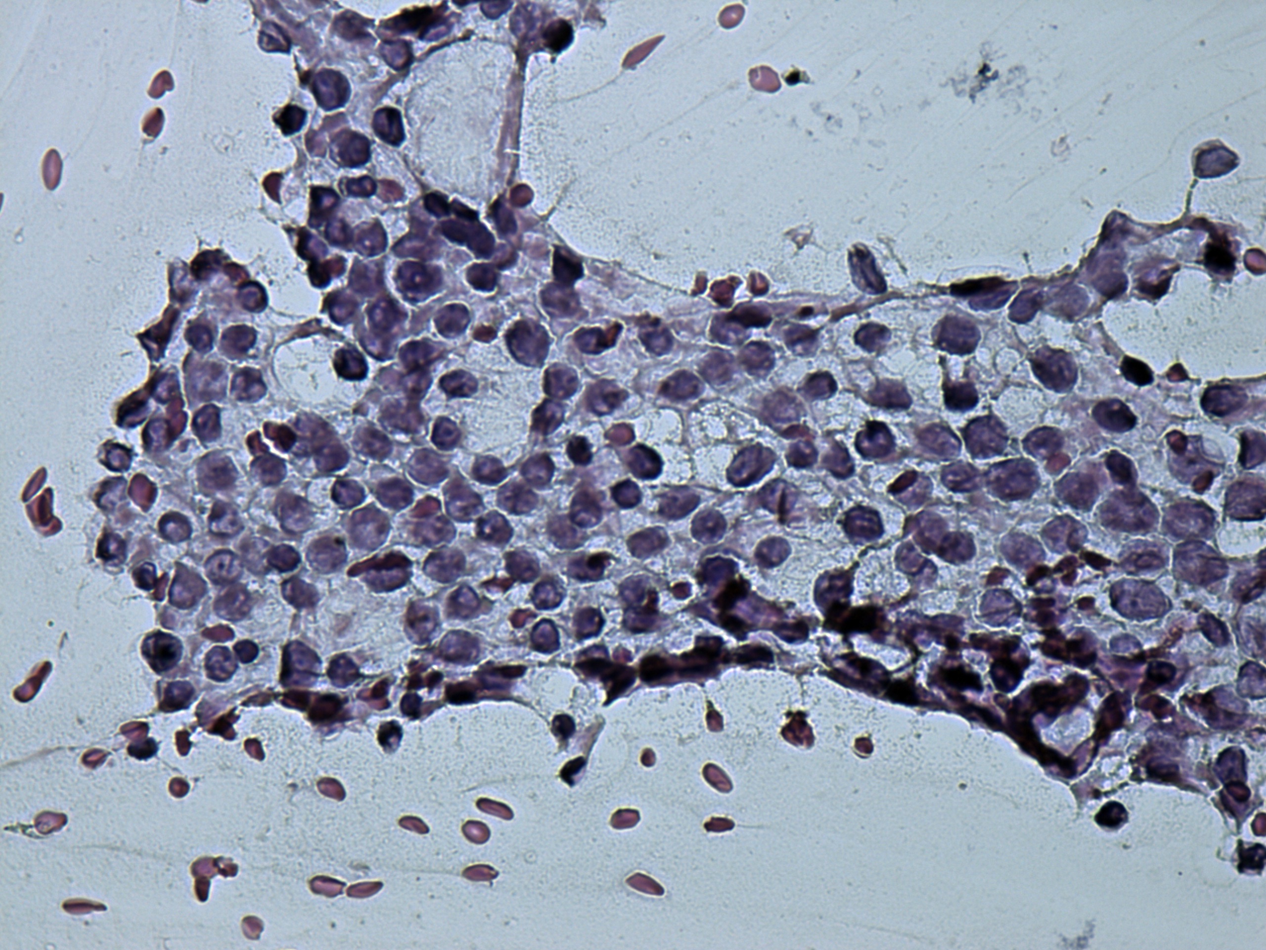
Lymph nodes - case conp 025 (cytologic picture 8)
|
|
|
![]() |
|
Pap-smear, 400x. Although there is no significant anisonucleosis, the rectangular shape of cells means a high degree of pleomorphism.

