Lymph nodes - case conp 025 (cytologic picture 10)


Previous picture Back to Case Maximize Next picture

Right lobe, longitudinal scan

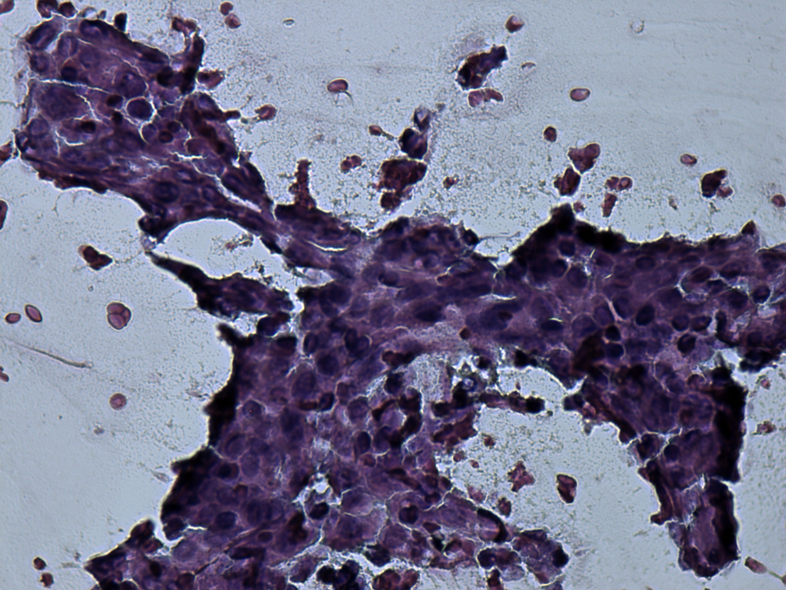
Pap-smear, 400x.  Note nuclear crowding and overlapping. Some cells have inclusion-like holes.

mask