Lymph nodes - case conp 059 (cytologic picture 1)


Previous picture Back to Case Maximize Next picture

Right lobe, longitudinal scan

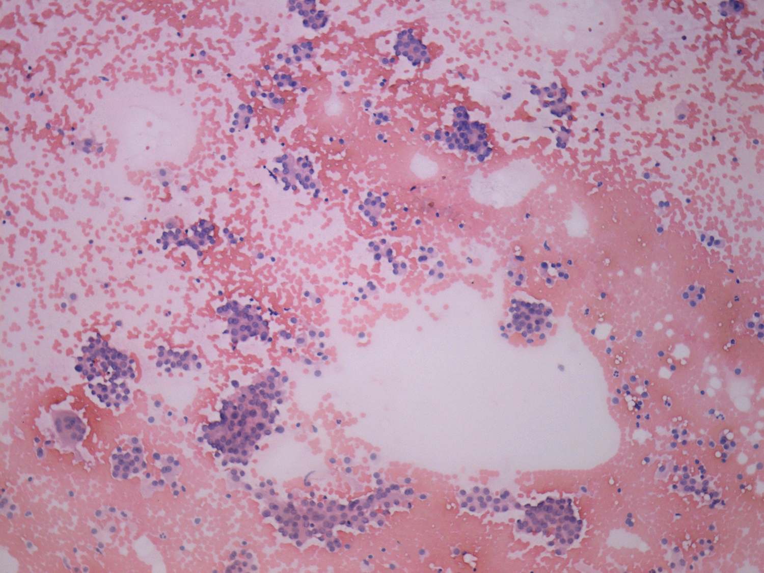
Pap-smear, 100x.   There is no colloid in the background. Follicular cells occur in papillary cell groups and in microfollicles.

mask