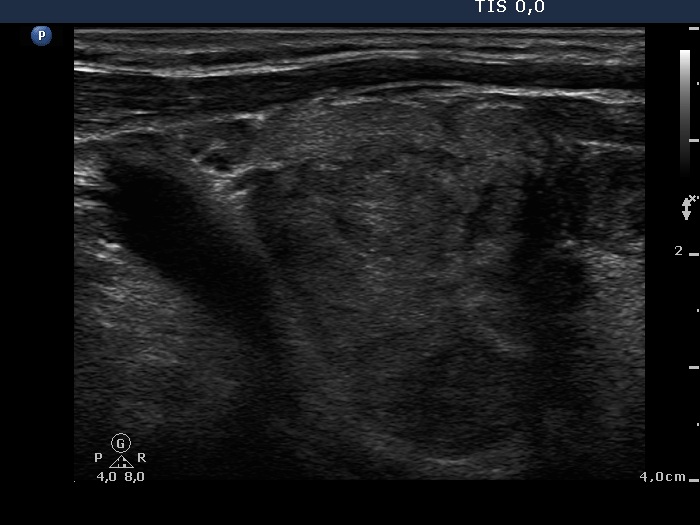
Lymph nodes - case conp 059 (ultrasonographic picture 6)


Previous picture Back to Case Next picture

Right lobe, longitudinal scan

Left lobe, longitudinal view. The borders of the nodule are irregular, lobulated and the nodule presents longer-than-wide shape.

 

 

 

 

mask