Parathyroid lesions - case 1521 (ultrasonographic picture 13)


Previous picture Back to Case Next picture

Right lobe, longitudinal scan

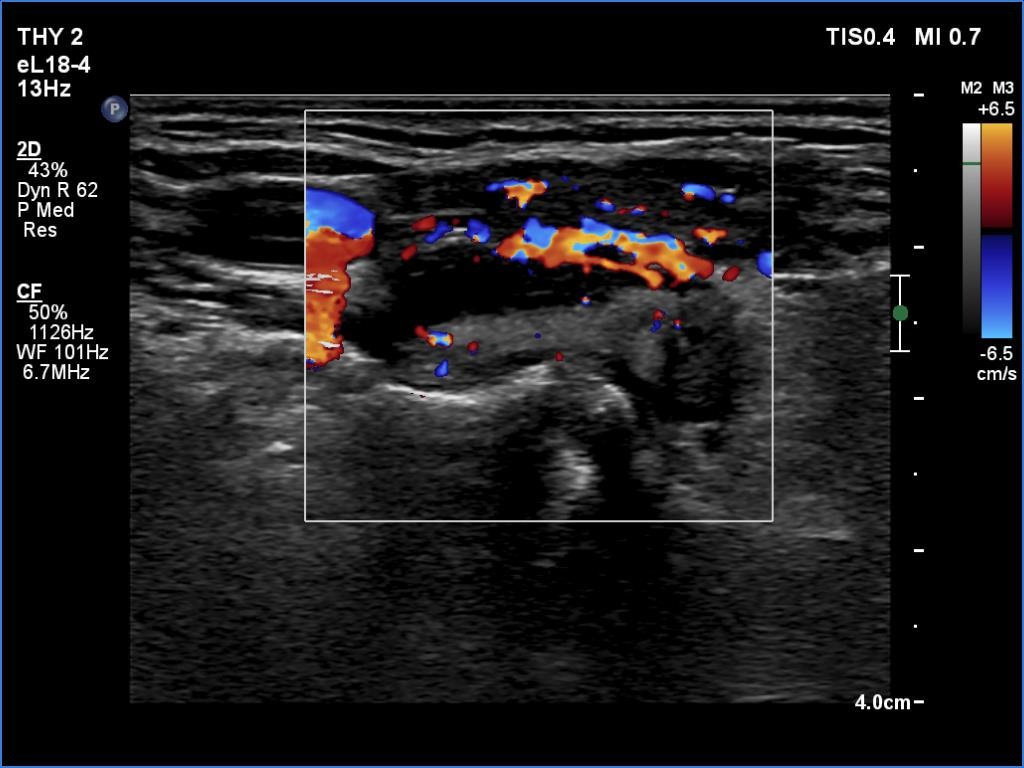
Right lobe, transverse scan, color Doppler mode - after aspiration of 2 mL yellow fluid.

 

.

 

 

 

 

mask