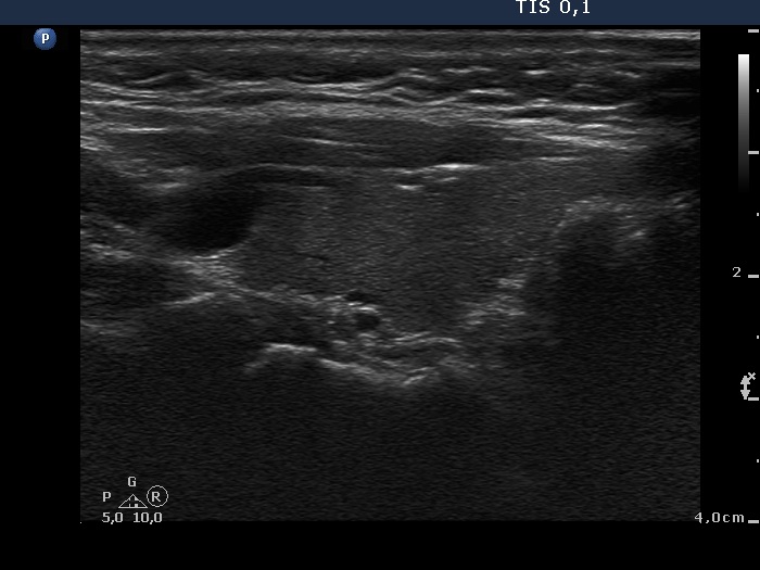
Parathyroid lesions - case 39 (ultrasonographic picture 6)


Previous picture Back to Case Next picture

Right lobe, longitudinal scan

Left lobe, longitudinal scan. There is an intrathyroidal large vessel in the upper pole of the lobe (left in the image).

 

 

 

 

mask