Parathyroid lesions - case 493 (ultrasonographic picture 4)


Previous picture Back to Case Next picture

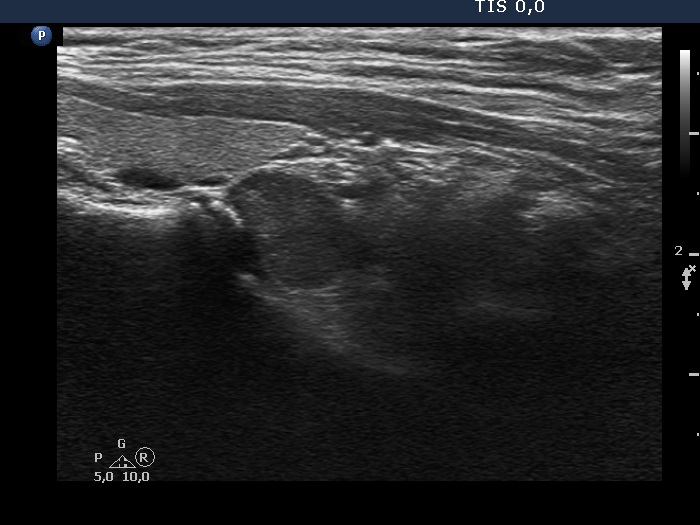
Right lobe, longitudinal scan

Lower part of the right lobe, longitudinal view. This lesion is located outside the thyroid, just under the lower pole.

 

 

 

 

mask