Menu
Home
2 Nodular goiter
3 Non-nodular thyroid
4 Non-thyroid neck
Parathyroid lesions
Cases
5 US-interventions
6 Advanced courses
Supplement
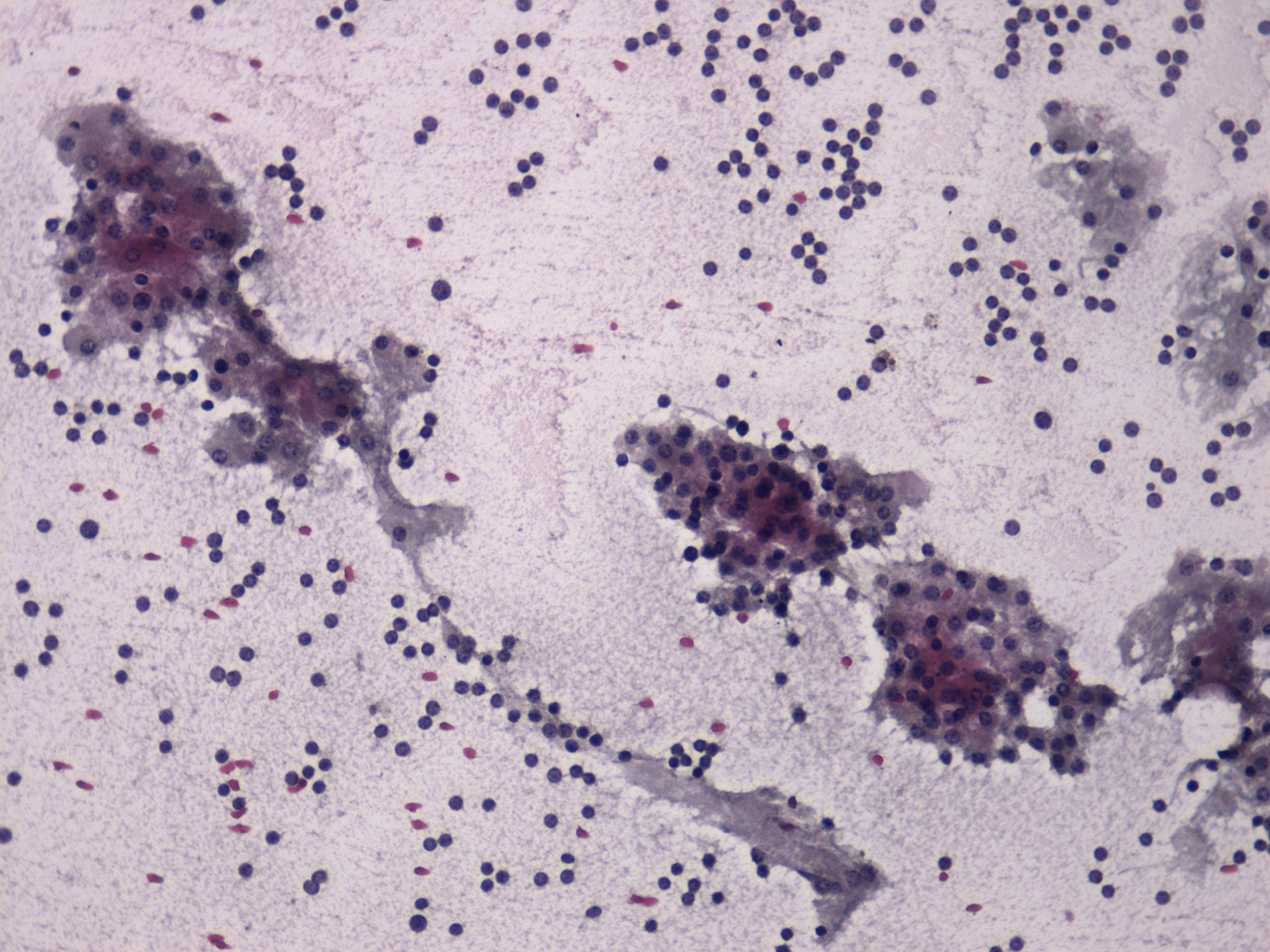
Parathyroid lesions - case 579 (cytologic picture 3)
Pap-smear, 400x. A monomorphous pattern with a slight anisonucleosis.