Parathyroid lesions - Case 898 |
|
Clinical data: A 66-year-old woman was referred for evaluation of neck complaints. The patient noticed cough in recumbent position for a few weeks.
Palpation: no abnormality.
Laboratory investigation resulted in euthyroidism: TSH 0.98 mIU/L.
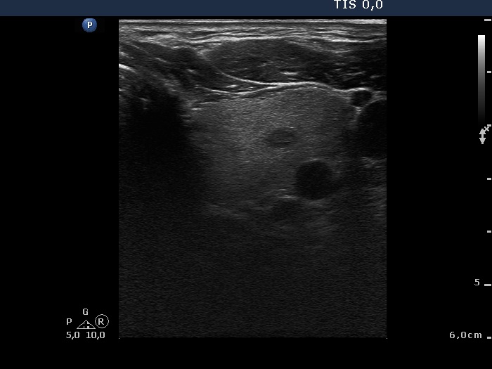
Ultrasonography: The thyroid was echonormal with a few insignificant lesions. There was a large cystic lesion dorsal to the lower third of the right lobe.
After aspiration of 10 ml yellow fluid the size of the lesion decreased from 35x31x42 mm to 29x22x39 mm. The patient refused to aspirate more fluid because her complaints ended.
Further laboratory tests were performed. Results of blood test: serum-calcium 2.17 mM/L, phosphorus 1.08 mM/l, parathormone 26.1 pg/mL (normal value 12-88). The parathormone content of the aspirated fluid was above 175 pg/mL.
Final diagnosis: parathyroid cyst.












