Parathyroid lesions - case cons100_028 (cytologic picture 4)


Previous picture Back to Case Maximize Next picture

Right lobe, longitudinal scan

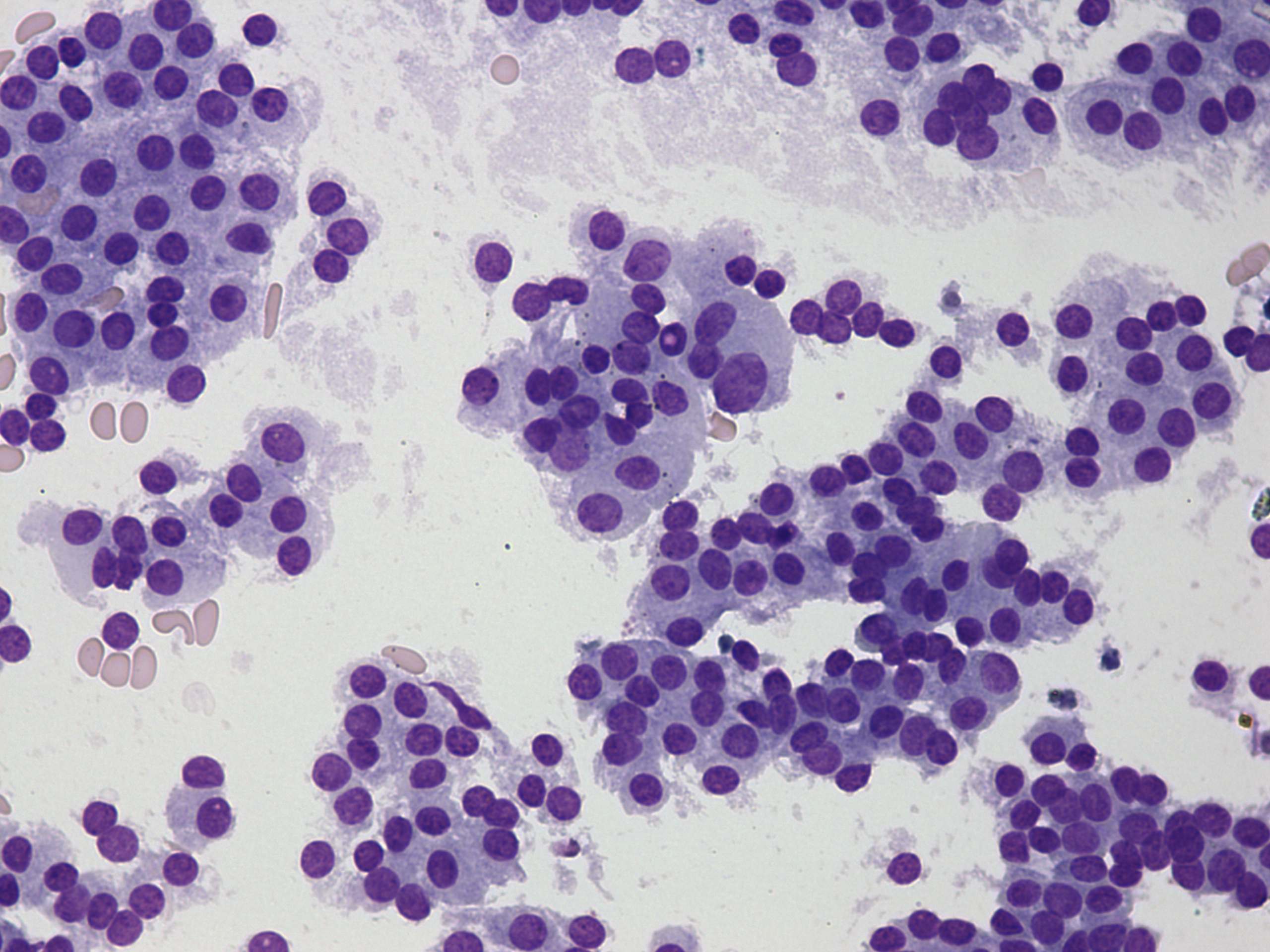
Wright-Giemsa staining, 400x.   A monomorphic pattern of regular follicular cells forming microfollicles.

 

 

 

 

 

mask