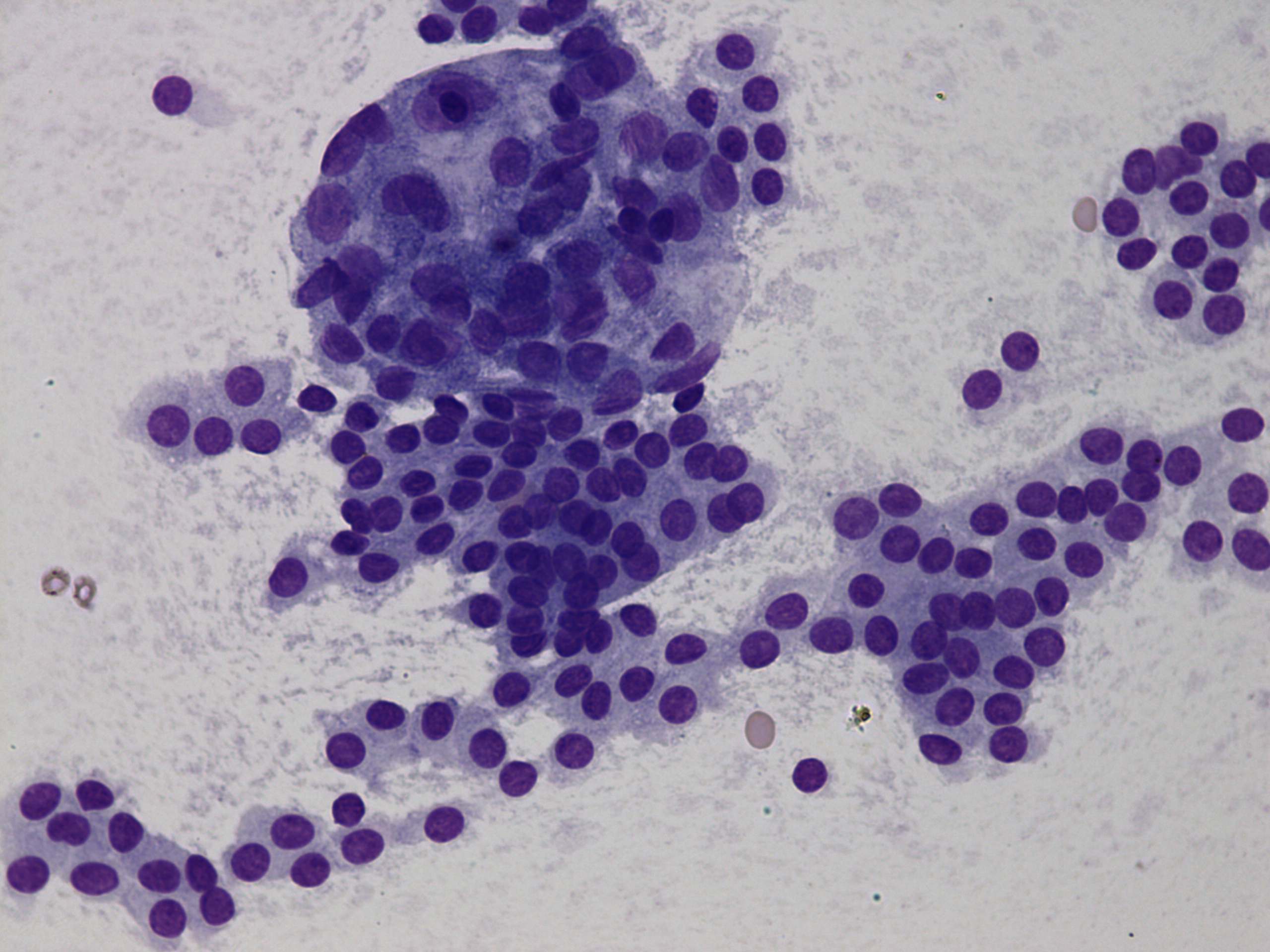
Parathyroid lesions - case cons100_028 (cytologic picture 6)
|
|
|
![]() |
Wright-Giemsa staining, 400x. A microfollicular growth pattern with evenly distributed follicular cells. Note that the ratio of isolated microfollicles to microfollicles located in monolayered sheets is relatively low.

