The operated thyroid - case 1388

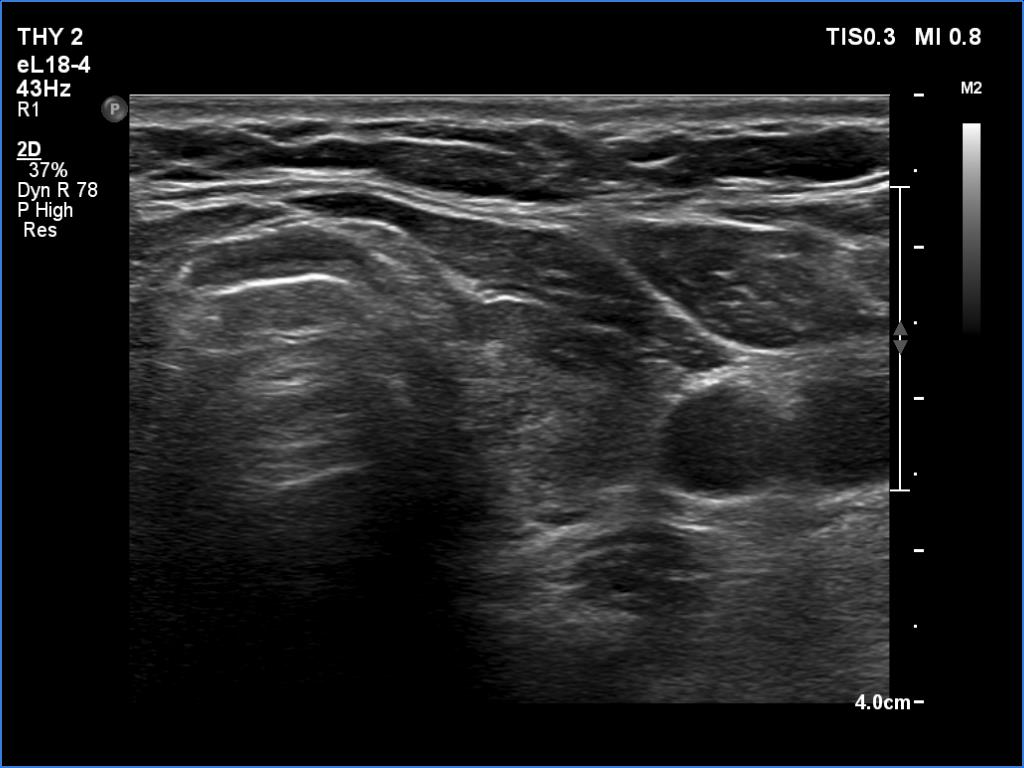
Five years after the surgery (ultrasonographic picture 4)


Previous picture Back to Case Next picture

Right lobe, longitudinal scan

Lower part of the left lobe, transverse scan. Here, the pattern is more inhomogeneous.

 

 

 

 

mask