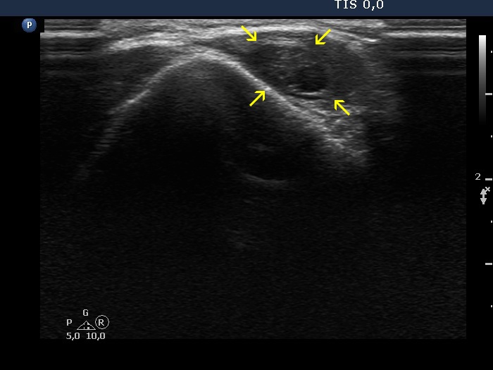
The operated thyroid - case 1524
Eleven years after the surgery (ultrasonographic picture 5b)
|
|
|
|
A few cm above the left thyroid bed, transverse scan. The cystic mass is signed with yellow arrows.
